

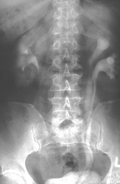
Entstehen im Zusammenhang mit dem fehlgebildeten Anteil zumeist durch Harnstau (z.B. Harnsteinbildung) bzw. Infekt. Die entsprechende Symptomatik führt dann zur Entdeckung und der operativen Behandlung mit Entfernung des fehlgebildeten Nierenanteils (Abbildung 4) (
Fehlbildungen des Harnleiters). Die Doppelbildungen des Harnleiters können bei Steinbildung insbesondere in einem Ureterfissus Schwierigkeiten bereiten.