

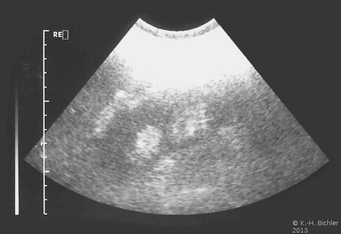
Die asymptomatische doppelte Nierenanlage wird bei sonographischen bzw. röntgenologischen Untersuchungen meist zufällig entdeckt (Abbildung 3) (
s. Bildgebende Verfahren).
Die symptomatische Doppelniere (z.B. bei Harnwegsinfekt) erfordert den Einsatz bildgebender Verfahren. Ausgehend von der Sonographie sind Ausscheidungsurogramm, Computertomogramm bzw. retrograde Sondierung des fehlgebildeten Anteils erforderlich. Fehlgebildet sind in der Regel die obere Hälfte des gedoppelten Organs bzw. die separate Niere ("Nierenknospe"). Der dysplastische Nierenanteil zeigt oft nur schwache bzw. keine Kontrastmittelausscheidung.