

b
d
Symptome treten nach dem 30. Lebensjahr auf. Die progrediente Niereninsuffizienz beginnt mit dem 50. Lebensjahr und ist für über die Hälfte der Patienten mit dem 60. Lebensjahr dialysepflichtig. Häufig besteht ein Hypertonus.
b
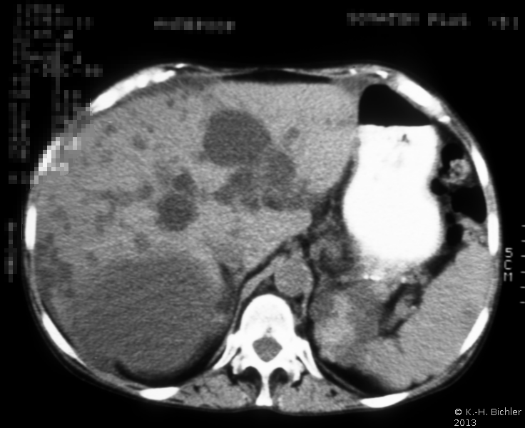
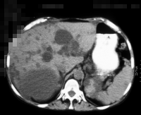
Die Diagnose wird mittels Anamnese (zystische Nierenerkrankungen in der Familie), RR-Messung, Labor (Kreatinin) mit genetischer Untersuchung, Sonographie, Computertomographie und gegebenfalls Kernspintomographie gestellt (Abbildung 4).
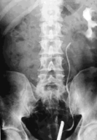
Ein i.v.-Pyelogramm kann im Rahmen der differentialdiagnostischen Abklärung des Flankenschmerzes indiziert sein (Abbildung). Sofern schon eine ausgeprägte Niereninsuffizienz vorliegt, sollte die Abklärung mit einem retrograden Pyelogramm erfolgen (Abbildung 5).
Die Therapie ist symptomatisch, da eine kausale nicht exsistiert. Bei Beschwerden in Folge des großen Oberbauchtumors oder sonographisch bzw. radiologisch nicht zu klärender Differentialdiagnose zwischen Zyste und zystischem Tumor ist die Nierenfreilegung, gegebenenfalls eine Nephrektomie, indiziert. Die sich entwickelnde terminale Niereninsuffizienz ist Indikation zur Dialyse bzw. Nierentransplantation.