

b 
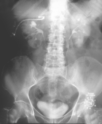
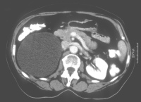
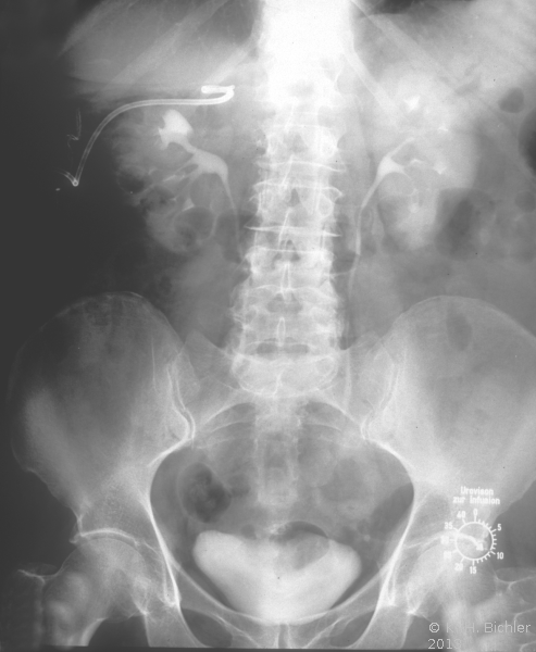
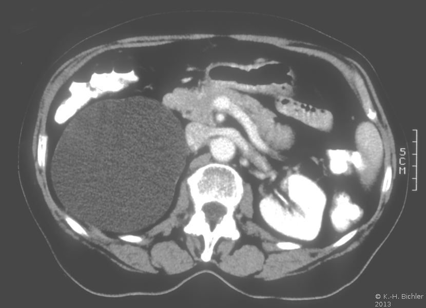
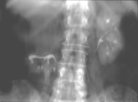
Die Patientin wurde beim Urologen wegen seit 3 Wochen persistierender Flankenschmerzen rechts vorstellig. Der Untersuchungsbefund zeigte als Auffälligkeit ein klopf- und druckschmerzhaftes Nierenlager rechts. Der Urinstatus wies keine Besonderheiten auf. Sonographisch fand der Urologe eine ca. 11 cm große einfache Nierenzyste rechts, die bis in das Nierenbecken reichte. Mit dem anschließend durchgeführten i.v.-Pyelogramm konnte eine Abflussbehinderung aus dem Nierenhohlraumsystem ausgeschlossen werden. Es waren jedoch glatt berandete, zystentypische Kelchausziehungen der oberen und mittleren Kelchgruppe zu erkennen. Der Urologe stellte die Patientin stationär in der Klinik vor. Zum Ausschluss eines eventuell vorliegenden zystischen Karzinoms wurde ein CT des Abdomens durchgeführt. Hier fand sich eine große, unkomplizierte Zyste, die die Niere verdrängte (Abbildung 4).
Zur Behandlung erfolgte die laparoskopische Nierenzystenfensterung. Die Patientin war danach beschwerdefrei. Ein Rezidiv trat nicht mehr auf.
Symptomatische und komplizierte Zysten bedürfen einer eingehenden Abklärung und entsprechender Therapie. Bei Tumorverdacht sollte die Nierenfreilegung zur Histologiegewinnung erfolgen (Bosnik III/IV) (s. Abbildung 3).