

b
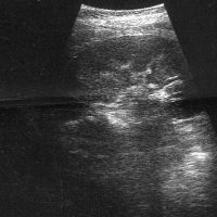
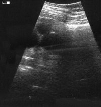
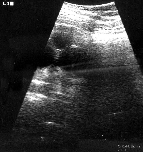
Bei einer 16-jährigen Jugendlichen wurde wegen Flankenschmerzen und sonographischem Verdacht auf einen linksseitigen zystischen Nierentumor die Freilegung durchgeführt (Abbildung 3). Dabei fand sich ein zystischer Tumor (Abbildung 4). Die histologische Untersuchung ergab eine multizystische, dysplastische Nierendegeneration.
Da die unilaterale multizystische Nierendysplasie nicht immer vergrößert ist, fallen derartige Tumoren unter Umständen erst im Erwachsenenalter anlässlich Untersuchungen aufgrund anderer Erkrankungen auf. Die Organe werden zumeist wegen der Differentialdiagnose zum zystischen Nierenzellkarzinom entfernt.
b